1947년대 첫 발견 이후 정체가 무엇인지 논란이 일었던 나뭇잎 모양과 같은 길이 1.4m 정도 크기 '디킨소니아(Dickinsonia)'가 동물이라는 결정적 증거가 나왔다. 호주국립대학(ANU, Australian National University) 지구과학연구소 요헨 브록스(Jochen Brocks) 연구팀은 러시아 북서부에서 발견한 5억5천800만 년전에 살았던 이 화석에서 동물성 스테로이드인 '콜레스테롤'분자를 검출해 현재 지구에서 발견된 가장 오래된 생물 화석으로 확인했다. 연구 성과는...
과학자들이 영화 ‘매트릭스’처럼 인공적으로 만들어진 자궁에서 토끼를 자연임신 시키는 데 성공했다.미국 웨이크포레스트 재생의학 연구소(WFIRM, Wake Forest Institute for Reenerative Medicine)가 임신이 불가능한 토끼에서 채취한 세포를 배양 인공자궁을 만들어 자연임신을 시키는 데 성공했다. 이 기술이 발전되면 사람 불임 치료에도 도움이 될 수 있다.연구 결과(논문명: A tissue-engineered uterus supports live births...
샌디에고주립대(SDSU), 워싱턴대(U/W), MIT공대, 이태리의 페라대(U/Ferrara) 등으로 구성된 감각운동신경공학센터(The Center for Sensorimotor Neural Engineering, CSNE)는, 척수가 다쳐(damaged spinal cords) 다리를 움직일 수 없는 사람들의 두뇌에 이식할 수 있는 브레인 칩(an implantable brain chip)을 개발해, 두뇌의 신경전기신호(neural electrical signals)를 다리에 전달해 움직이게 하거나, 전기자극(electrical stimulation)을 통해 손상된 신경을 회복할 수 있는...
인간의 장 속에는 약 1억 개 이상 뉴런(신경세포)이 존재하고 있어 “장은 2번째 뇌”라고도 불린다. 그간 연구에 따르면 장내에 서식하는 세균이 동물의 운동 지구력(논문명: Meta-omics analysis of elite athletes identifies a performance-enhancing microbe that functions via lactate metabolism)과 음식 맛을 좌우하고 있는 것으로 밝혀졌다. 이번에는 미국 록펠러대학(Rockefeller University) 장점막 면역연구소 다니엘...
기억이 저장되는 장소를 찾아내기 위하여 dual-eGRASP라는 기술을 개발했다. 새롭게 개발된 dual-eGRASP 기술을 이용하여 연구팀은 기억이 저장 되는 시냅스를 찾아내고, 도널드 헵의 가설을 증명하고자하였다. 우리의 뇌 영역 중 해마가 기억을 담당한다고 알려져 있기 때문에 연구팀은 dual-eGRASP 기술을 생쥐의 해마에 적용한 후 공포기억을 학습시켜 시냅스들을 분석하였다. 그 결과 기억형성에 의해서 기억저장 세포들 사이 시냅스의 수상돌기 가시의 밀도와 크기가 증가했다는 것을 관찰하였다. 한마디로 기억저장 시냅스를 찾아낸 것이다.
원숭이들은 '얼굴의 특징을 인식하는 한 집단의 신경들' 덕분에 얼굴을 인식할 수 있는 것으로 밝혀졌다. 이로써 신경과학자들은 '뇌의 안면인식 과정'을 밝히는 데 한 걸음 더 다가선 것이다.사람들은 군중들 속에서 많은 생각하지 않고서도 익숙한 얼굴을 콕 집어낼 수 있다. 그러나 뇌(腦)가 실제로 어떻게 그런 작업을 수행하는지에 대한 메커니즘이 밝혀지지 않아 오랫동안...
세계 처음으로 DNA를 소재로 사용하여 피부 안으로 유효한 약물을 전달하는 ‘나노마이크로 DNA 바늘(needle)패치’ 기술이 상용화된다. 이 패치는 3차원 나노패터닝기술로 만든 미세한 크기의 DNA 바늫을 피부에 부착해 약물을 포함한 유효물질을 흡수시키는 기술이다. 과학기술정보통신부(장관 유영민)는 정준호 박사(한국기계연구원) 연구팀이 개발한 ‘나노 마이크로 DNA 바늘 패치’ 상용화를 위해 연구소기업인 ‘에이디엠바이오사이언스(주)’의 설립을 지난 7월 17일 인가했다고 밝혔다. 연구소기업은 공공연구기관의 기술을 직접 사업화하기 위해 자본금 20%
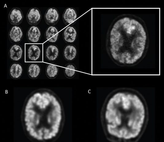
전 세계에서 수천만 명이 앓고 있지만 조기 진단이 어려운 알츠하이머병을 인공지능(AI)으로 조기에 진단하는 데 성공했다.캘리포니아대학 샌프란시스코 캠퍼스(UCSF) 방사선 의학영상 진단학과 손재호 박사 연구팀이 뇌 스캔을 이용한 딥러닝 훈련을 실시한 결과, 40건의 사례에서 알츠하이머 치매 조기 진단에 성공했다고 발표했다.연구 결과는 국제적인 의학저널인 '방사선학(Radiology)' 6일자에 논문 ‘A Deep Learning Model to...
2020년 노벨 생리의학상에 ‘C형 간염 바이러스’를 발견한 하비 알터(Harvey J. Alter)와 마이클 호턴(Michael Houghton), 찰스 라이스(Charles M. Rice) 등 3명이 공동으로 선정됐다.스웨덴 카롤린스카 연구소 노벨위원회는 노벨 생리의학상 수상자 선정 이유로 “전 세계 사람들의 간경변과 간암을 유발하는 간염 바이러스와 싸움에 결정적인 공헌을 한 3명의 과학자를 선정했다”며, “이들은 이전 A형과 B형...
미국 캘리포니아대학교 샌프란시스코캠퍼스(UCSF·University of California, San Francisco) 과학자들이 숨(respiration)만 쉬게 하는 줄 알았던 폐(허파, lungs)의 놀라운 또 다른 새로운 역할은 혈액(피, blood)를 만든다는 것을 밝혔다. 쥐(mouse)의 폐에 있는 세포들은 대부분의 혈소판들(most blood platelets)을 생성하며, 골수(bone marrow)에서 부족한 혈액생성세포들(blood-making cells)을 보충(복원)하고 있다는 사실을 밝혀낸 것이다. 연구 결과는 3월 22일(현지시간) 네이처지에 “폐는...
파킨슨병이나 조현병 환자의 도파민 농도를 실시간 측정할 수 있는 기술이 개발됐다. 도파민은 동식물에 존재하는 아미노산의 하나이며, 뇌신경 세포의 흥분을 전달하는 역할을 한다. 뇌 질환의 근본 원인을 규명하고 이해하는 데 있어 도파민은 중요한 지표이다. 파킨슨병 환자의 뇌 속 도파민 양은 감소되어 있고, 정신분열증으로 알려진 조현병 환자는 도파민이 과다하다고 알려져 있다.장동표 한양대학교...
개구리의 배아세포로 만든 살아있는 로봇 ‘제노 봇(Xenobot)’이 개발됐다. 스스로 물질을 운반할 수 있는 제노 봇은 인체의 아픈 곳에 약물을 운반하거나 혈관에 축적된 노폐물을 제거해 동맥경화를 막을 수 있을 것으로 기대된다.버몬트대학교(University of Vermont) 로봇공학자 조슈아 본가드(Joshua Bongard)와 터프츠대학교(Tufts University) 생물학자 마이클 레빈(Michael Levin) 공동 연구진이 개구리 피부와 심장근육 세포로 세계...
























![[보고서] 딥씨크 출현과 한국 AI 미래전략](http://8www.itnews.or.kr/wp-content/uploads/2025/02/7-218x150.png)

![[2024 애플 동향] ③ 애플카 ‘프로젝트 타이탄’의 실패 원인](http://8www.itnews.or.kr/wp-content/uploads/2024/03/1-2-218x150.png)
![[2024 애플 동향] ② 애플카 ‘프로젝트 타이탄’ 10년간 의 여정](http://8www.itnews.or.kr/wp-content/uploads/2024/03/4-218x150.png)
![[2024 애플 동향] ① 애플 프로젝트 타이탄’ 종료](http://8www.itnews.or.kr/wp-content/uploads/2024/03/Midjourney-218x150.png)


![[BCI] 2배 이상 뇌 신호를 감지·전달하는 ‘투명유리 카본전극 칩’ 개발](http://8www.itnews.or.kr/wp-content/uploads/2017/02/15-534x365.png)









