시장형 공기업 웹사이트 절반이 개방성 미흡한 것으로 드러났다.웹발전연구소는 26일 최근 시장형 공기업 16개 웹사이트의 웹 개방성을 조사한 결과 절반인 8곳의 웹 개방성이 '매우 미흡' 또는 '미흡'한 것으로 나타났다고 밝혔다. 시장형 공기업 16개 중 50%가 정보검색을 '부분 차단' 또는 '전체 차단'하고 있다. '전체 허용'은 8개(50%), '부분 차단'은 4개(25%), '전체 차단'은 4개(25%)인...
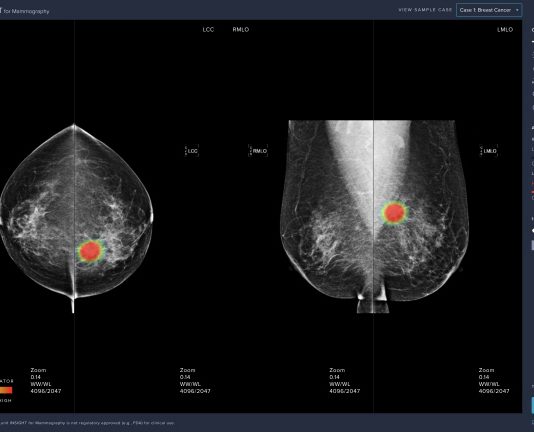
의료 인공지능(AI) 업체 루닛(대표이사 서범석)은 자체 개발한 유방암 진단 보조 소프트웨어가 식품의약품안전처 허가(의료기기 3등급)를 받았다고 31일 밝혔다. 해당 제품은 ‘루닛 인사이트 MMG’로 29일 식약처로부터 국내 판매 허가(인허가 제품명 Lunit INSIGHT for Mammography)를 받았다. 루닛 인사이트 MMG는 루닛과 연세대학교 세브란스병원, 서울아산병원, 삼성서울병원이 공동 개발한 제품이다.루닛 인사이트 MMG는 인공지능기술을 기반으로 설계된 유방촬영영상...
정보통신산업진흥원이 컴퓨터그래픽 기업 일자리 창출을 돕는다과학기술정보통신부와 정보통신산업진흥원은 8월 27일부터 1박 2일간 시흥 대교HRD센터에서 진행되는 ‘2019년 컴퓨터그래픽(CG) 리크루팅 캠프’ 참가자를 모집한다고 31일 밝혔다.컴퓨터그래픽(CG) 리크루팅 캠프는 컴퓨터그래픽분야의 창의인재를 발굴하고 전문 인력과의 매칭을 통해 국내 CG·VFX·애니메이션 기업 등 컴퓨터그래픽 기업에 취업을 연계하도록 지원한다.참가자는 캠프기간동안 CG기업 실무자의 밀착 멘토링을 지원받아 참가기업 채용직무의 대한...
라이다(LiDAR) 공급 업체 레다텍(LeddarTech)이 캐나다 연방법원에 제기한 팬텀 인텔리전스(Phantom Intelligence)와 특허침해 소송이 최종 합의됐다.레다텍은 2015년 12월 캐나다 특허 등록 LiDAR 기술 및 광학신호 획득과 그 신호의 디지털 기록 변환을 위한 시스템 및 방법과 관련된 기술을 팬텀 인텔리전스가 불법으로 이용했다며 소송을 제기했다. 해당 특허는 레다텍이 오랫동안 축적한 지적재산권의 핵심으로 자동차 및...
산업 시스템과 산업 제어 시스템(ICS) 아키텍처에 가해지는 공격들이 인프라 손상과 생산 중단, 매출 손실, 과중한 벌금 등 다양한 물리적인 영향은 물론, 인명사고와 같은 심각한 결과를 초래할 수 있다. 갈수록 지능화되는 공격들에 대응하기 위해 벤더들은 정보/운영 기술(IT/OT) 네트워크뿐만 아니라 산업용 사물 인터넷(IIoT) 아키텍처 전반에 보안 솔루션을 제공하고 있다.프로스트 앤드 설리번 박세준...
보험개발원은 별도의 서류확인이나 제조사 문의 등 추가적인 심사과정 없이 차량 번호만으로 보험 가입에 필요한 차량정보를 조회할 수 있는 시스템을 구축했다고 29일 밝혔다.보험사는 첨단안전장치 보험료 할인특약상품을 판매하고 있다. 이때 보험사는 보험료를 산정하기 위해 차량 모델 정보와 첨단안전장치 장착 여부를 파악해야 한다.이 때문에 보험개발원은 차량정보 통합조회 시스템을 구축했다.보험개발원은 시스템을 이용하면 차량번호만으로...
여름휴가 시즌을 맞아 ‘여름휴가 보안 체크리스트’가 나왔다.안랩이 제시한 ‘여름휴가 보안 체크리스트'는 휴가를 보내는 유형별로 개인이 지켜야 할 주요 보안 수칙을 체크리스트로 정리한 것이다.◇홈캉스 족을 위한 보안 체크리스트홈캉스 족은 ‘집(Home)’과 ‘휴가(vacance)’를 합성한 말로 여행 등 특별한 계획을 세우지 않고 집에서 편안하게 휴가를 즐기는 사람들을 뜻한다.· OS(운영체제) 및 인터넷 브라우저(IE, 크롬...
충남대 WISET 사업단은 여고생들의 공학체험을 위한 ‘Girls’ Engineering Weeks(GEW)-지금은 공학 소녀시대’ 행사를 개최했다고 24일 밝혔다. 2011년에 시작하여 올 해로 아홉번째를 맞은 G.E.W.는 여고생들의 공학 마인드를 제고하고 공학분야 진학을 장려하기 위해 진행되는 전국단위 행사로, 7월 17일부터 26일까지 전국 7개 도시에서 진행되며 과학기술정보통신부와 대전광역시의 후원을 받아 한국여성과학기술인지원센터와 충남대 WISET 사업단이 공동으로 주최하고...
2018년 12월에 발사된 천리안위성 2A호가 궤도상시험 등 7개월간의 준비과정을 마치고 7월 25일부터 정식서비스를 실시한다천리안위성 2A호는 고해상도 컬러 기상영상과 52종의 다양한 기상산출물을 신속하게 제공하여 △기상관측 △수치·초단기예보 △기후감시 등 다양한 분야에 활용된다.먼저 고해상도 컬러 기상영상과 다양한 기상산출물을 활용하면 육안으로 구름과 산불연기·황사·화산재 간 구분이 가능해져 분석 정확도가 높아진다.또한 천리안위성 2A호의 신속한 자료...
교통사고는 항상 예고 없이 찾아옵니다. 예상하지 못한 상황에서 발생하는 만큼 교통사고를 당한 몸은 치명적인 피해를 입을 수 있습니다.특히 사고 직후 당장은 몸에 큰 지장이 없지만 긴장이 풀리는 사고 다음 날이나 며칠이 지난 뒤 통증이 시작되는 경우가 많은데, 교통사고 후유증의 대부분이 이렇게 시작됩니다.교통사고 후유증은 삶의 만족도에 지대한 영향을 끼치기 때문에...
일본 수출규제로 인한 불매운동 전후로 일본차의 중고차 시장도 감소한 것으로 나타났다.헤이딜러가 24일 발표한 자료에 따르면 렉서스 ES 300h, 도요타 캠리 등 일본산 대표 차종들에 대한 중고차 딜러들의 입찰 수가 최대 30% 감소했다.차종 별로 살펴보면 렉서스 ES 300h는 평균 딜러 입찰 수가 12.8명에서 8.9명으로 30% 감소했고, 인피니티Q50은 25%, 도요타 캠리는...
네이버가 AI 기술 관련 사업화를 적극 지원한다. 해커톤 ‘AI STARTHON 2019’ 22일 시작됐다. 이번 대회의 운영사인 네이버는 참가자를 대상으로 머신러닝 연구 개발 플랫폼 NSML과 자체 구축한 데이터를 제공하며, AI 스타트업 발굴과 저변 확대에 앞장선다. 과학기술정보통신부가 주최하고 정보통신산업진흥원(NIPA)이 주관하는 이번 대회에는 다양한 분야에서 AI 기술 관련 사업화에 관심 있는 200여개팀이 지원해 10:1이...
























![[보고서] 딥씨크 출현과 한국 AI 미래전략](http://8www.itnews.or.kr/wp-content/uploads/2025/02/7-218x150.png)

![[2024 애플 동향] ③ 애플카 ‘프로젝트 타이탄’의 실패 원인](http://8www.itnews.or.kr/wp-content/uploads/2024/03/1-2-218x150.png)
![[2024 애플 동향] ② 애플카 ‘프로젝트 타이탄’ 10년간 의 여정](http://8www.itnews.or.kr/wp-content/uploads/2024/03/4-218x150.png)
![[2024 애플 동향] ① 애플 프로젝트 타이탄’ 종료](http://8www.itnews.or.kr/wp-content/uploads/2024/03/Midjourney-218x150.png)











